Klinik für diagnostische und interventionelle Radiologie
Chefarzt Prof. Dr. Matthias Bollow
Augusta-Kranken-Anstalt gGmbH
Bergstraße 26 - 44791 Bochum
Tel.: 0234 / 517-2753

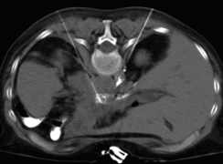
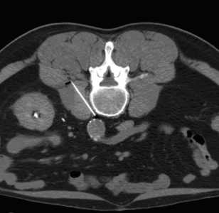
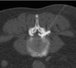
Die durchleuchtungs- und computertomographie-gesteuerte periradikuläre, epidurale und intradiskale Schmerztherapie (PRT) wird im Institut für Radiologie der Augusta-Kranken-Anstalt häufig zur Behandlung von Bandscheibenvorfällen, entzündlichen und degenerativen Bandscheibenveränderungen an den Segmenten der Lenden- (Abb. Links) und Halswirbelsäule (Abb. Mitte Links) , seltener auch an der Brustwirbelsäule eingesetzt. Unter bildgebender Kontrolle wird in örtlicher Betäubung eine dünne Hohlnadel an die Nervenwurzeln oder in die Bandscheibe im erkrankten Wirbelsäulenbereich vorgeschoben. Durch die Kontrolle in der CT wird eine millimetergenaue Platzierung der Nadel erlaubt. Durch eine simultane Kontrolle mittels Durchleuchtung (C-Bogen am CT) gelingen auch schwierige Positionierungen z.B. im Segment L5/S1 (Abb. Mitte Rechts). Die korrekte Nadellage wird jeweils durch Gabe von 0,5 ml Kontrastmittel überprüft, wobei auf eine Anfärbung der epiduralen Räume (bzw. bei intradiskaler Therapie auf eine Kontrastierung des Gallertkernes der Bandscheibe) Wert gelegt wird (Abb. Rechts).
![]() |
![]() |
![]() |
![]() |
Erst dann wird durch die Nadel ein cortisonhaltiges entzündungshemmendes Präparat in den Wirbelkanal und an die betroffene Nervenwurzel gespritzt, welches in der Regel zu einer deutlichen Reduktion der Beschwerden führt. Da die Eingriffe meist ambulant durchgeführt werden und zudem nahezu schmerzfrei sind, stellt diese Behandlungsmethode eine nur geringe Belastung für den Patienten dar, so dass diese nach einer Ruhephase von ein bis zwei Stunden das Institut wieder verlassen können. Die Patienten sollten jedoch nach der Behandlung nicht selber mit dem Auto fahren.
Eine der häufigsten Ursachen von Wirbelsäulenschmerzen sind degenerative Veränderungen an den kleinen Wirbelgelenken (Facettengelenken) bei der sog. aktivierten Spondylarthrosis deformans. In der CT oder MRT stellen sich Deformierungen der kleinen Wirbelgelenke mit Kontrastmittel anreichernden Synovialiszysten dar (Abb. Links: aktivierte Arthrose des Facettengelenkes L5/S1 rechts).
![]() |
![]() |
![]() |
||
![]() |
![]() |
||
Diese mittlerweile weltweit angewandte Methode wurde von Prof. Bollow zu Anfang der 90-iger Jahre ins Leben gerufen und 1996 erstmalig publiziert (*Bollow M, Braun J, Taupitz M, Häberle J, Reißhauer BH, Paris S, Mutze S, Seyrekbasan VF, Wolf KJ, Hamm B. Intraarticular corticosteroid injection into the sacroiliac joints using CT guidance in patients with spondyloarthropathy: indication and follow-up with contrast-enhanced MRI. J Comp Assist Tomo 1996; 20: 512-521) und wegen der nur geringen anfallenden Strahlenexposition im weiteren Verlauf auch für Kinder und Jugendliche erfolgreich angewandt (Fischer T, Biedermann T, Hermann KGA, Diekmann F, Braun J, Hamm B, Bollow M. Sakroiliitis bei Kindern mit Spondylarthropathie: Therapeutischer Effekt der CT-gestützten intraartikulären Kortikosteroid-Injektion. Fortschr Röntgenstr 2003; 175: 814-821).
Die PAO gehört zu den seronegativen Spondyloarthritiden (SpA) und stellt eine schubweise verlaufende Sonderform der psoriatischen Osteoarthropathie dar, welche häufig mit sterilen pustulösen Hautveränderungen an Handflächen und Fußsohlen (palmoplantare Pustulose PPP) einhergeht und zu Schmerzen in der Sternokostoklavikularregion führt. Häufig besteht eine äusserlich tastbare Schwellung.
![]() |
![]() |
![]() |
|||
Klinische Bilder der Pusteln an Fußsohlen und Handflächen (Palmoplantare Pustulose PPP) und der äusserlich sicht- und tastbaren Schwellung der Sternokostoklavikularregion bei Sternokostoklavikulärer Hyperostose (SCCH).
"Testgelenke" dieser Erkrankung sind die artikulären und ligamentären Verbindungen zwischen den Schlüsselbeinen, dem Brustbein und den ersten Rippen. Hier manifestiert sich eine rheumatische Entzündung mit Kombinationen aus arthritisch-destruierenden und enthesiosynovitisch osteoproliferierenden Veränderungen, welche in eine Weichgewebeossifikation und Hyperostose einmünden kann. Die früharthritischen Veränderungen werden sowohl mit der Szintigraphie als auch mit der MRT diagnostiziert, die ankylosierten und ossifizierten Spätfolgen lassen sich mit der CT am besten darstellen. Mit zunehmenden Verknöcherungen sind klinisch zunehmende Beeinträchtigungen der Beweglichkeit im Schultergürtel verbunden.
![]() |
![]() |
||
![]() |
![]() |
![]() |
|||
Skelettszintigraphisch kommt eine typische Mehrbelegung in der Sternokostoklavikularregion zur Abbildung (oben rechts). Die verknöcherten Spätfolgen einer PAO oder SCCH werden in der CT (axial, coronar, sagittal, s. unten) gut sichtbar.
![]() |
![]() |
![]() |
|||
Neben einer durch den Rheumatologen zu verordnenden systemischen Therapie können wir bei verbleibenden Schmerzzuständen in der Sternokostoklavikularregion eine lokale CT- und DL-gesteuerte Corticosteroid-Injektion durchführen.
![]() |
![]() |
||
Die Sternoclaviculargelenke lassen sich unter Monitoring mit der CT und der Durchleuchtung sicher und komplikationslos punktieren. Vor der intraartikulären Corticoninjektion wird eine Arthrographie mit 1 ml Kontrastmittel durchgeführt, welche die Sicherheit einer genauen Nadelposition erhöht (unten).
![]() |
|
Mehr als 85% der Patienten mit Pankreaskarzinom leiden unter starken Schmerzen. Oft sind Bauch- oder Rückenschmerzen auch das erste Anzeichen des Tumors. Dann jedoch ist der Tumor schon weit fortgeschritten und selten resektabel. Die mittlere Überlebenszeit nach Diagnosestellung beträgt sechs Monate. Die unter sterilen Bedingungen und lokaler Anästhesie durchgeführte CT- und DL-gesteuerte neurolytische Plexus coeliacus-Blockade mit 95%igem Alkohol (Abbildungen) kann im Kombination mit herkömmlicher Schmerztherapie nach aktueller Literaturlage sowie nach eigenen Beobachtungen diese Schmerzen um bis zu 50% reduzieren. Ziel unseres Institutes ist es daher, gemeinsam mit den Onkologen und Schmerztherapeuten der Augusta-Kranken-Anstalt einen Weg für die Patienten mit Pankreaskarzinomen zur Schmerzlinderung zu finden, um für die verbleibende Lebenszeit eine spürbare Verbesserung ihrer Lebensqualität zu erreichen.
![]() |
![]() |
![]() |
|||
Der lumbale Sympathikus besteht aus drei bis vier Nervenganglienpaaren, die an der Vorderkante der Wirbelkörper rechts und links der großen Gefäße und des beiderseitigen Musculus psoas im Fettgewebe liegen. Die Rami communicantes verbinden die Ganglien strickleiterartig sowohl nach kranio-kaudal als auch von links nach rechts. Eine weitere Umschaltung erfolgt über die Rami albi, die durch die Neuroforamina neben den Segmentnerven zum Duralsack verlaufen und dann im Rückenmark weitergeleitet werden. Bei umschriebenen peripheren arteriellen Verschlüssen kann bei der Sympathikolyse mit einer hohen Erfolgsrate (ca. 75%) gerechnet werden. Der beste Effekt lässt sich in Kombination mit einem intensiven Gehtraining erzielen. Als gute Indikationen zur lumbalen Sympathikolyse zählen Verschlüsse der Unterschenkel- und Fußarterien auch bei kombinierten Oberschenkelverschlüssen. Trophische periphere Ulcera sind durch die lumbale Sympathektomie ebenso wie Nekrosen der Zehen zu behandeln. Bei ca. 45 Prozent der Patienten mit Stadium IV können sich die Nekrosen vollständig zurückbilden. Patienten mit Diabetes mellitus zeigen in der Regel ein schlechteres Ansprechen. Die lumbale Sympathikolyse ist durch die CT-Kontrolle heute zu einer Standard-therapie bei der Behandlung von peripheren arteriellen Durchblutungsstörungen geworden. Die beste Indikation ist im Stadium III nach Fontaine gegeben, aber auch im Stadium IIb kann bei schlechter Ausstrombahn in Kombination mit gefäßchirurgischen Eingriffen oder einer Angioplastie eine Indikation vorliegen. Die Nebenwirkungen sind wegen der hohen Präzision der CT-Steuerung gering. Da die Behandlung unter Lokalanästhesie durchgeführt wird, kann in vielen Fällen eine ambulante Therapie erfolgen. In Bauchlage werden nach Gabe von 1 ml Kontrastmittel pro Kilogramm Körpergewicht die Ureteren kontrastreich in der Ausscheidungsphase dargestellt. Nach Lokalisation der sympathischen Ganglien durch eine Spiral-CT des Mittel- und Unterbauches werden die Einstichstellen an der Haut bestimmt und markiert. Nach Lokalanästhesie der Haut und der autochthonen Rückenmuskulatur wird eine 22 G Shiba-Nadel durch den Musculus psoas zu den jeweiligen Ganglien unter lokaler Anästhesie vorgeschoben (Abbildung). Etwa 0,5 ml Kontrastmittel wird zur Prüfung der Verteilung am Sympathikus injiziert. Zur Ausschaltung des Sympathikus sind bei exakter Positionierung der Nadelspitze ca. 5 bis 10 ml 95%igen Alkohols erforderlich.
![]() |
![]() |
||
Kontraindikationen der lumbalen Sympathikolyse sind wie bei allen Interventionen Gerinnungsstörungen mit Thrombozytenwerten kleiner 50.000 und Quickwerten kleiner 50 Prozent. Als weitere Kontraindikationen werden unbehandelte aortoiliakale Stenosen bzw.Verschlüsse angesehen, da in solchen Fällen durch die Sympathikolyse eine Verschlechterung der peripheren Durchblutung durch Absenken des Blutdrucks bei mangelndem Angebot hervorgerufen werden kann.