Klinik für diagnostische und interventionelle Radiologie
Chefarzt Prof. Dr. Matthias Bollow
Augusta-Kranken-Anstalt gGmbH
Bergstraße 26 - 44791 Bochum
Tel.: 0234 / 517-2753

Im Institut für Radiologie wird ein moderner, hochleistungsfähiger 1,5-Tesla-Magnetresonanztomograph von einem hochspezialisierten Team aus Ärzten und MRTA betrieben, von welchen alle Körperregionen untersucht werden können. Im Gegensatz zur Computertomographie funktioniert die Magnetresoanztomographie MRT nicht mit Röntgenstrahlung sondern mit Magnetfeldern und Radiowellen. Die MRT macht sich die Eigenschaft des Magnetismus von Teilchen des Wasserstoffatoms zu Nutze, die im menschlichen Körper in sehr großer Anzahl vorhanden sind. Diese kann man sich als kleine Stabmagneten vorstellen, die sich in einem starken Magnetfeld in charakteristischer Weise ausrichten. Mit Hilfe von Radiowellen einer definierten Frequenz können diese Teilchen für kurze Zeit ausgelenkt werden, anschließend kehren sie wieder in ihre Ausgangsposition zurück. Bei diesem Vorgang entstehen Signale, die mit Hilfe von hochempfindlichen Empfänger-Antennen registriert werden. Über Hochleistungscomputer werden aus den Signalen Schnittbilder der untersuchten Körperregion des menschlichen Körpers in allen erdenklichen Schnittebenen erstellt. Für die Verbesserung der Untersuchungsergebnisse kommen bei bestimmten Fragestellungen für Organ- und Gefäßdarstellungen gadoliniumhaltige Kontrastmittel zum Einsatz. Patienten mit eisenhaltigen Implantaten oder Fremdkörpern sowie implantierten medizinischen Geräten wie Medikamentenpumpen, Herzschrittmachern und Defibrillatoren müssen unbedingt vor der Untersuchung wegen möglicher Gefährdungen Rücksprache mit ihrem Arzt halten.
![]() |
|
![]() |
![]() |
![]() |
![]() |
![]() |
![]() |
![]() |
![]() |
![]() |
||
| T2-gewichtet | T1-gewichtet 30 Sekunden nach Kontrastmittelgabe |
T1-gew. 60 Sekunden nach Kontrastmittelgabe |
![]() |
![]() |
![]() |
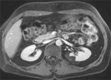
||
| Zystennieren | Angiomyolipom li. Niere | Hufeisenniere mit Stauung links |
![]() |
![]() |
![]() |
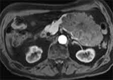
||
| Nierenzellkarzinom rechts | MIP Harnstauung | MR-Urogramm |
![]() |
![]() |
![]() |
||
| T2-gew. axial mit rektaler Füllung |
T2-gew. axial mit rektaler Füllung |
pT3-Rektumkarzinom mit Infiltration in die Subserosa |
![]() |
![]() |
![]() |
||
| normaler Uterus | Zervixkarzinom | Korpuskarzinom |
Mit der MRT lässt sich die Prostata mit einer hohen morphologischen Auflösung und einer guten Abgrenzbarkeit ihrer typischen zonalen Gliederung darstellen. Von besonderem Interesse ist dabei die sog. periphere Drüse, da diese die Hauptlokalisation bösartiger Neubildungen in der Prostata ist. Diese periphere Zone wird bei uns in drei Abschnitte unterteilt und bewertet.
![]() |
|
| normale Prostata |
Für die Indikationsstellung zu einer MRT-Untersuchung der Prostata sind klinische Informationen des behandelnden Urologen notwendig: Eine MRT der Prostata ist sinnvoll, wenn bereits durchgeführte Stanzbiopsien der Prostata negativ (d.h. ohne Nachweis eines Tumors) waren, trotz dass das sog. prostataspezifische Antigen PSA (Norm PSA ≤ 4 ng/ ml) erhöht und/oder das Verhältnis von freiem PSA zu gebundenen PSA (Norm ≥ 15 %) ungünstig verschoben ist. Sollte mit Hilfe der MRT ein tumorverdächtiger Bezirk in der peripheren Drüsenzone der Prostata diagnostiziert werden, kann dieser dank unserer präzisen topographischen Zuordnung (d.h. durch die genaue Beschreibung des Tumorsitzes in der Prostata) von einem Urologen gezielt biopsiert werden. Eine MRT der Prostata ist nicht sinnvoll, wenn eine Entzündung der Prostata (Prostatitis) vorliegt, da sich mit der MRT mögliche bösartige Prostatatumoren dann nicht sicher erkennen lassen. Eine MRT der Prostata ist ebenfalls nicht sinnvoll, wenn nur eine Vergrößerung der zentrale Drüsenzone der Prostata vorliegt. Dann spricht man von einer gutartigen Prostatavergrößerung, der sog. benignen Prostatahyperplasie (BPH). Untersuchungsablauf und Vorbereitung: Vor Ihrem Untersuchungstermin sollten sie 3-4 Stunden nichts gegessen haben. Flüssigkeit und Ihre Medikamente sollten sie jedoch in gewohnter Weise einnehmen. Bitte füllen Sie vor der Untersuchung einen speziellen Fragebogen aus, welcher Ihnen von unseren Mitarbeitern ausgehändigt wird. Teilen Sie uns bitte vor der Untersuchung mit, ob Sie einen Herzschrittmacher oder andere metallische Gegenstände im Körper oder Tätowierungen am Körper haben. Bitte lassen Sie uns auch wissen, ob Sie Angst in engen Räumen verspüren, an einem Glaukom („grüner Star“) oder an Herzrhythmusstörungen leiden bzw. kürzlich eine Operation an Ihrem Enddarm, an Ihrem Herzen oder an Ihrem Gehirn durchgeführt wurde. Die gesamte Untersuchung der Prostata wird ca. 40 min dauern. Um Ihre Darmtätigkeit für den Untersuchungszeitraum zu senken und dadurch die Bildqualität nochmals zu erhöhen, könnte es notwendig werden, dass der Arzt Ihnen das Medikament Buscopan intravenös verabreicht. Als Nebenwirkung würden Sie einen trockenen Mund bekommen und für einige Zeit eingeschränkt scharf sehen können. Da damit eine aktive Beteiligung am Straßenverkehr (Auto- oder Fahrradfahren) direkt nach der Untersuchung nicht möglich ist, sollten Sie sich nach Hause bringen lassen oder ein Taxi benutzen.
![]() |
![]() |
![]() |
|||
| signalarmes Karzinom rechts in der peripheren Zone |
signalarmes Karzinom links in der peripheren Zone |
beide signalarmen Karzinome im Mittelteil der peripheren Zone |
![]() |
![]() |
![]() |
![]() |
||||
| axiale T1-gew. post KM FS |
axiale MIP | coronare T1-gew. post KM FS |
coronare MIP |
![]() |
Patienten in einem Alter unter 50 Jahren werden bei Stuhlentleerungsstörungen aus Strahlenschutzgründen zunächst mit Hilfe der MRT-Defäkographie untersucht. Da diese Untersuchung im Gegensatz zur Röntgen-Defäkographie (siehe SOP - Durchleuchtung - Defäkographie und unter Leistungen - Durchleuchtung) in liegender Position erfolgt, wird sie wegen der unphysiologischen Haltung (liegend statt "auf dem Klo sitzend") kritisch betrachtet. Häufig lassen sich jedoch mit dieser Methode bereits die Beschwerden der Patienten gut erklären: In dem Movie MRT-Defäkographie in der sog. Evakuationsphase, d.h. beim Pressen und Entleeren, wird von dieser Patientin ein zuvor über ein Darmrohr instilliertes Gel in eine "Windel" entleert. Dabei stellt sich eine pathologische Vorwölbung der Vorderwand des Rektums dar, welche ventrale Rektozele genannt wird. Darüber hinaus ist an der flüssigkeitsgefüllten Harnblase eine Vorwölbung der Hinterwand in Richtung des Rektums erkennbar, welche als dorsale Zystozele bezeichnet wird. | ||
| Movie MRT-Defäkographie |
![]() |
![]() |
![]() |
|||
| Bild 1 | Bild 2 | Bild 3 |
![]() |
![]() |
![]() |
|||
| Bild 4 | Bild 5 | Movie 5.1 |
![]() |
![]() |
|
| Bild 6 | Bild 7 |
![]() |
![]() |
![]() |
|||
| Partialruptur Achillessehne | Xanthom der Achillessehne | Calcaneopathia rheumatica mit Fibroostitis am plantaren Fersensporn |
![]() |
|
| Achillobursitisdefekt |
![]() |
![]() |
![]() |
|||
| Transiente Osteoporose li. Hüftgelenk |
Morbus Ahlbäck | Osteochondrosis dissecans mediale Talusschulter |
![]() |
![]() |
![]() |
|||
| Aortenbogen norm. | Arteria carotis interna- Verschluss re |
Nierenarterienstenose links |